Coronavirus
- article11 Min ReadJuly 19, 2020 10:23 AMEl cuerpo de Imelda Moreno de Lucero espera en un refrigerador, mientras sus hijos tratan de cumplir su último deseo de reposar junto a su esposo en su tierra natal. El trámite ronda los 20,000 dólares. La familia de Humberto Rodríguez guarda sus cenizas en casa, a la espera de una ceremonia religiosa, cuando las medidas por el coronavirus lo permitan. Inmigrantes con poco dominio del inglés llevan peor los trámites.
- gallery28 ImagesJuly 18, 2020 11:42 AMHasta ahora, casi 30 países han comenzado a abrir sus puertas a turistas provenientes de Estados Unidos. Sin embargo, el Departamento de Estado mantiene su aviso de salud global de nivel 4, mismo que advierte no realizar viajes internacionales debido a la pandemia e incluso establece información específica de cada país respecto a sus propias restricciones. Además, las propias embajadas avisan sobre una serie de inconvenientes, requisitos e incluso peligros que pudieran experimentar durante su visita.
Aquí una lista de las naciones que ya permiten el ingreso a personas desde Estados Unidos. - article1 Min ReadJuly 10, 2020 09:20 PMSin nombrar a ninguno en particular, la canciller alemana Angela Merkel criticó a los gobiernos populistas señalando los resultados que estos países han tenido gestionando la pandemia del coronavirus.
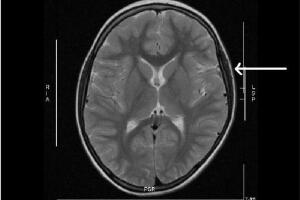
- article2 Min ReadJuly 08, 2020 11:58 AMLa covid-19 puede dar lugar a complicaciones neurológicas que incluyen delirios, psicosis, derrames y un raro tipo de inflamación cerebral, de acuerdo con un estudio publicado el miércoles.
- article1 Min ReadJuly 04, 2020 02:24 PMEl presidente Trump extendió hasta el 8 de agosto el plazo para que las pequeñas empresas golpeadas por el coronavirus puedan solicitar subsidios federales.
- article3 Min ReadJuly 01, 2020 12:05 PMEl gobierno de Donald Trump ha comprado más de 500,000 dosis, lo que supone toda la producción de este fármaco en julio y el 90% de los meses de agosto y septiembre.
- article6 Min ReadJune 29, 2020 10:21 AMCon música fuerte, charlas a gritos y alcohol, un lubricante social que frena los comportamientos cautelosos y las normas de distanciamiento, los bares pueden ser el caldo de cultivo idóneo para la propagación del nuevo coronarivus. Las autoridades sanitarias ya han identificado estos locales como fuentes de brotes en Louisiana, Florida, Idaho y Wyoming. Puedes leer aquí esta historia en inglés.
- article9 Min ReadJune 28, 2020 12:50 PMA partir del mes de agosto se puede producir en Los Ángeles un desalojo masivo al terminar la moratoria que estableció protecciones de desalojo para los inquilinos que no podían pagar el alquiler. Varias organizaciones atienden y dan consejos legales.
- article11 Min ReadJune 27, 2020 03:10 PMLa falta de pruebas generalizadas, las variaciones en la forma en que se registra la causa de muerte y el impacto económico y social que ha causado el virus están ocultando el verdadero número de muertes debido al nuevo coronavirus. Puedes leer aquí esta historia en inglés.
- gallery10 ImagesJune 25, 2020 08:59 PMA pesar de haber iniciado con diversas reaperturas para desahogar economías, según cifras de la Universidad Johns Hopkins en las que se basa este listado, el coronavirus sigue causando estragos en todo el país, confirmando que la primera ola de contagios todavía no ha terminado.