Gusanos
Gusanos: Últimas noticias, videos y fotos de Gusanos
- article5 Min ReadOctober 26, 2025 02:36 PMInternos del Centro de Detención de Farmville denuncian mal estado de los alimentos y represalias por negarse a comer; organizaciones de derechos humanos exigen cierre inmediato del centro y liberación de los detenidos. La empresa administradora respondió y negó las acusaciones.
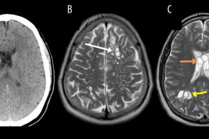
- article4 Min ReadMarch 16, 2024 04:38 PMLas personas con neurocisticercosis presentan distintos síntomas, dependiendo de las estructuras y tejidos que hayan infectado los gusanos, explica un estudio.
- article2 Min ReadDecember 06, 2022 08:18 PMEl paciente, de 64 años, llegó al hospital después de cinco días de dolor, picor y sangrado en su oreja, por lo que los doctores le realizaron un examen físico que reveló “numerosas larvas móviles” que obstruían el conducto auditivo del paciente.
- article1 Min ReadOctober 11, 2022 08:26 PMUna plaga más invade el norte de Texas, ahora son insectos que dejan pegajosos los patios y autos. Un jardinero nos explica de qué trata esta plaga que invade las residencias de Dallas y Fort Worth.
- article2 Min ReadSeptember 28, 2022 10:56 AMUna plaga de gusanos tejedores del otoño está invadiendo calles del Metroplex afectando a cientos de árboles. Un especialista en plagas nos dice cómo combatirla sin gastar de más.
- article1 Min ReadMay 17, 2022 09:23 PMIllinois es uno de los 34 estados afectados por la plaga de gusanos saltadores y ya se han detectado en 40 condados de Illinois, entre ellos Cook, DuPage, Kane, McHenry y Will, según la UIC.